Replacing Teeth
Jump to section
Replacing Teeth: Case 1
Replacing Teeth: Case 2
Replacing Teeth: Case 3
If you’re ready to take the next step towards a healthier, happier smile, book your appointment with us today.
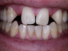
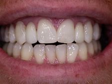
Replacing Teeth: Case 1
This 61 year old female wanted the replacement of her missing teeth and general cosmetic improvement of discoloured and crooked teeth.
- Ceramic crowns and bridges of upper 8 front teeth.
- 3 visits, total treatment time 3 weeks.
Before
After


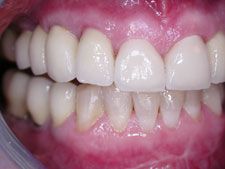
Replacing Teeth: Case 2
32 year old male wanted to replace 2 upper teeth, unsuitable for dental implants. Also wanted upper midline space corrected.
- Bonded ceramic bridges and bonded composite resin gap closure.
- 2 visits over 2 weeks.
Before
After


Replacing Teeth: Case 3
48 year old female with multiple broken down and missing teeth. Implants and crowns placed to replace missing upper and lower teeth and remaining 3 upper natural teeth crowned.
- 8 months total treatment time.
Before
After


