Improving Smiles
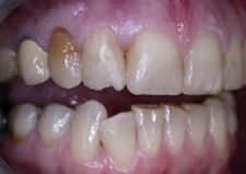
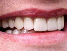
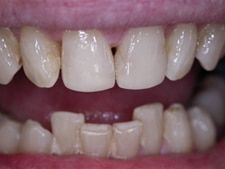
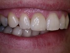
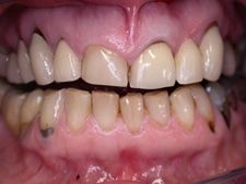
Case 1
This 57 year old female wanted a cosmetic improvement. Following detailed planning and study we agreed that porcelain crowns along with veneers on the upper 8 front teeth would achieve the best possible, long-term result.
- This patient was thrilled with the improvement.
- Treatment took 2 visits 2 weeks apart with aesthetic temporary veneers.


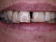
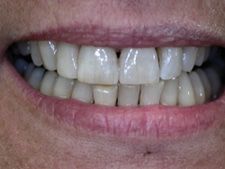
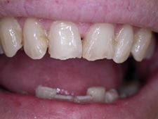
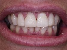
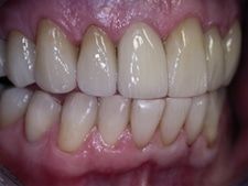
Case 02


Veneers
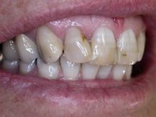
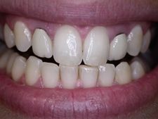
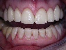
Case 03
This 24 year old female visited our centre with a chipped front tooth. We were able to correct this utilising bonded composite resin.
- 1 visit, 20 minutes, no needles, no pain.


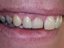
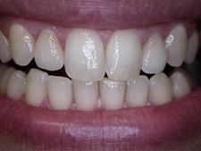
Case 04
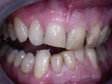
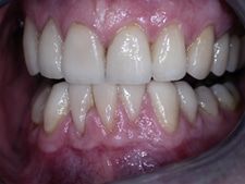
This 48 year old female wanted a cosmetic improvement to her smile. She had suffered from less than perfect teeth for too long.
- We utilised minor orthodontic tooth movement, bonded composite resin teeth reshaping and one-hour teeth whitening to achieve this result
- 6 visits


Case 05
54 year old female wanted restoration of worn and chipped front teeth. Bonded composite resin tooth lengthening
- 1 visit of 45 minutes, no needles and no drilling


Case 06
This 47 year old female wanted gaps in teeth closed up and reduction of gummy look to smile.
- Laser gum lifting and porcelain veneers of upper 8 front teeth.
- 1 visit for gum lift, 2 visits for veneers, total treatment time 4 weeks with great looking temporaries and easy healing of gum lift- no stitches, no scalpels.


Case 07
65 year old female wanted cosmetic improvement of discoloured upper teeth.
- Porcelain veneers of upper eight front teeth.
- 2 visits.


Case 08
49 year old female wanted upper right front teeth evened out.
- Gum lift of upper right front tooth and porcelain veneer.
- 3 visits, total treatment time 4 weeks.


Case 09
38 year old female unhappy with width and crowded appearance of upper front teeth.
- Reduction of teeth width and bonded composite resin veneers upper 4 front teeth.
- 1 visit of 80 minutes, no needles, no pain.


Case 10
33 year old female wanted old, metal-ceramic crowns replaced.
- Placed 2 new up-to-date aesthetic full ceramic crowns.
- 2 visits, 2 weeks total treatment time.


Case 11
52 year old male generally unhappy with dental appearance.
- Upper and lower porcelain crowns and veneers and some laser gum lifting to even out gum line.
- 5 visits, total treatment time around 8 weeks.


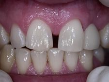
Case 12
44 year old male unhappy with gap in teeth.
- Bonded composite resin additions to both front teeth to close gap.
- 1 visit of 45 minutes, no needle, no drill.


Case 13
47 year old male, unhappy with general appearance of teeth.
- Porcelain crowns and veneers upper teeth and one-hour teeth whitening of lower teeth and 1 lower tooth veneer to correct inclination.
- 4 visits over 5 weeks.


Case 14
66 year old female wanted cosmetic improvement.
- Laser gum lift and replacement of old crowns and bridges. Lower teeth repair of decay and one-hour teeth whitening.
- 4 visits over 5 weeks.


